四十肩 五十肩でお困りの方へ|不動前・武蔵小山の鍼灸院|はりきゅう処 優(ゆう)
四十肩・五十肩で
こんなお悩みは
ありませんか?
四十肩 五十肩の原因
四十肩や五十肩の痛みの原因は
肩のインナーマッスルと言われる
筋肉の硬直と腕周辺の筋肉の硬直と
筋肉の間にある滑液包が主です。
四十肩五十肩は
ココが痛くなる
四十肩 五十肩は
この体勢がつらい①
四十肩・五十肩の多くの方は
上の写真のように
腰や背中に手を回す動作が
痛みで出来なくなることが多いです。
四十肩 五十肩は
この体勢がつらい②
四十肩・五十肩の多くの方は
上の写真のように
後頭部に手を当てる動作が
痛みで出来なくなることが多いです。
四十肩 五十肩に鍼治療が
おススメな2つの理由
理由その①
肩甲骨・腕・肩周辺に鍼施術を
することで筋肉の血流が良くなり
老廃物質が流れることでコリや痛みが
取れて肩の可動域も良くなります。
理由その②
鍼施術はマッサージよりも
痛みや筋肉の緊張や硬直を
緩和する即効性が高いです。
はりきゅう処 優(ゆう)で
四十肩五十肩が良くなる理由
はりきゅう処 優(ゆう)で
四十肩五十肩が良くなる理由は
カウンセリングと徒手検査をおこない
四十肩五十肩の原因を特定するからです。
また四十肩五十肩で悪くなる筋肉を
熟知しておりその筋肉だけに
鍼を当てる高度な技術も
持ち合わせているからです。
四十肩五十肩も原因がわかって初めて
その場所に施術をおこなえますので
施術も大事ですが原因をしっかりと
見つけることがとても大事です。
四十肩五十肩が
良くなったお声
【ご来院時の症状】 左腕が挙がらない
【施術コース】 鍼治療スタンダードコース
【ご来院時の症状】 右肩腕が挙がらない
【施術コース】 鍼治療スタンダードコース
はりきゅう処 優(ゆう)
2つのこだわり
①あなたのお悩みや症状を知るための
カウンセリングと徒手検査
- 四十肩五十肩の状態やお困り事
- 治療履歴
- 疼痛誘発動作の確認
など四十肩五十肩を早く治したい
お気持ちを大切にしながら
一つひとつ丁寧にお伺いします。
②完全予約制/個室でマンツーマン施術
他の人にお話しを聞かれることなく
施術を受けていただけるように
完全予約制&完全個室にさせて
いただいています。
はりきゅう処 優(ゆう)が
大切にしていること
あなたの四十肩五十肩の状態や
お悩みを丁寧にお伺いしてしっかりと
把握した上で施術へと移らさせて
いただきます。
私が最初から最後まで
責任を持ち施術を担当いたしますので
施術効果にバラつきがない技術保証を
お約束いたします。
落ち着きのある空間での施術を
どうぞご安心してお任せください。
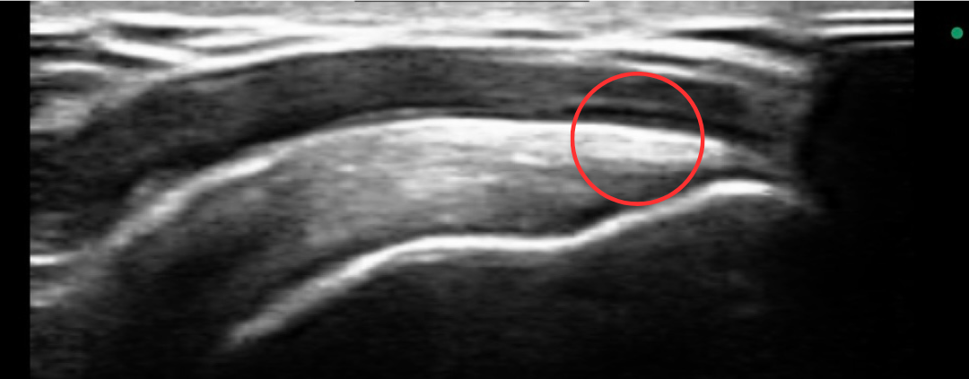
当院から病院へ
精密検査依頼をした
四十肩五十肩の症例
当院で詳しく検査し精密検査が
必要と判断し整形外科にご紹介をして
腱板断裂と診断された症例も多数
あります。
下の写真が実際に当院から精密検査を
依頼し腱板断裂と診断を受けた際の
超音波エコー検査の画像です。
ご予約・お問合せ
はりきゅう処 優(ゆう)では
お客様とのお時間を大切に
できるように完全予約制と
なっています。
下のお問合せをタップしていただくと
電話・LINE・メールのページに
進みますのでご連絡しやすい方法で
ご予約・お問合せ下さい。
また施術料金も
下の料金表をタップしていただくと
ご確認いただけます。
初めてお越しになる鍼灸院は
緊張されるかもしれませんが
ご安心してお越しください。
あなただけの治療に集中できる
お時間とご準備をしてご来院を
お待ちしております。
NEW
-
query_builder 2025/12/28
-
夏季休暇のお知らせ/不動前・武蔵小山の鍼灸院 はりきゅう処 優(ゆう)
query_builder 2025/08/02 -
頑固な首コリの正体とは?不動前/武蔵小山の鍼灸院 はりきゅう処 優(ゆう)
query_builder 2025/07/08 -
背中が痛む3つの原因を解説。不動前/武蔵小山の鍼灸院 はりきゅう処 優(ゆう)
query_builder 2025/06/25 -
太ももの外側の痛みは坐骨神経痛?について解説。不動前/武蔵小山の鍼灸院 はりきゅう処 優(ゆう)
query_builder 2025/06/24
CATEGORY
ARCHIVE
- 2025/121
- 2025/081
- 2025/071
- 2025/064
- 2025/052
- 2025/041
- 2024/112
- 2024/081
- 2024/071
- 2024/061
- 2024/053
- 2024/041
- 2024/031
- 2024/021
- 2024/011
- 2023/111
- 2023/091
- 2023/082
- 2023/061
- 2023/052
- 2023/042
- 2023/013
- 2022/121
- 2022/113
- 2022/105
- 2022/095
- 2022/0810
- 2022/0720
- 2022/0615
- 2022/0519
- 2022/0417
- 2022/0318
- 2022/0225
- 2022/0129
- 2021/1214
- 2021/1112
- 2021/106
- 2021/098
- 2021/089
- 2021/079
- 2021/0614
- 2021/0519
- 2021/0416
- 2021/0317
- 2021/0220
- 2021/0119
- 2020/1224
- 2020/1120
- 2020/1026
- 2020/0913